![]()
လက္မ၊ လက္ေခ်ာင္း၊ ခ်ိဳလိမ္စု႔ိျခင္းနဲ႔ ကေလးသြားက်န္းမာေရးအေၾကာင္း
ကေလးမ်ားဘာေၾကာင့္...
ႏုိ႔ခ်ိဳစုိ႔တာအပါအ၀င္၊ စုိ႔ျခင္း-စုပ္ျခင္း (sucking) ဟာ၊ ကေလးေတြအားလုံးမွာရွိတဲ့သဘာ၀လုပ္ငန္းေဆာင္တာတခုျဖစ္ပါတယ္။ အာရုံေၾကာနဲ႔႔ၾကြက္သားဆက္စပ္လွဳံ႕ေဆာ္တုန္႔ျပန္မွဳ (neuromuscular reflex) ေတြထဲကတစ္ခုအပါအ၀င္ျဖစ္ပါတယ္။ မေမြးခင္ အမိ၀မ္းထဲမွာကတည္းကသေႏၶသားေလးေတြဟာစုပ္တာ၊ စုိ႔တာလုပ္တတ္ေနပါျပီ။![]()
ေမြးလာျပီးခ်ိန္မွာေတာ့ ႏုိ႔ခ်ိဳစုိ႔တာအျပင္၊ လက္မ-ခ်ိဳလိမ္-ဒါမွမဟုတ္ တျခားပစၥည္းတခုခုကုိစုပ္တာဟာ ကေလးရဲ႕စိတ္ပုိင္းဆုိင္ရာခံစားမွဳကုိျပတဲ့အရာတခုျဖစ္လာပါတယ္။ လက္မစုပ္ေနရရင္ ကေလးငယ္ဟာ ကုိယ့္ဘာသာလုံျခဳံသြားသလုိခံစားရတယ္၊ ေက်နပ္မွဳကုိခံစားရတယ္၊ စိတ္ေျဖေလ်ာ့ေစတယ္လုိ႔ဆုိပါတယ္။ ဒါေၾကာင့္ကေလးငယ္ေတြ အဆူခံရလုိ႔ျဖစ္ျဖစ္ စိတ္အလုိမက်တဲ့အခါျဖစ္ျဖစ္လက္မစုပ္တတ္ပါတယ္။ စိတ္ကုိေျဖေလ်ာ့ေစတဲ့အတြက္၊ ခ်ိဳလိမ္ေခါင္း (pacifier) ေပးစုပ္ထားရင္ ကေလးငယ္ဟာ အလြယ္တကူအိပ္ေပ်ာ္တာေတြ႕ရပါလိမ့္မယ္။
ကေလးအတြက္ဘယ္လုိျပႆနာေတြ...
လက္မ-ခ်ိဳလိမ္စုပ္တဲ့အက်င့္ဟာ စဲြသြားတတ္ပါတယ္။ ငယ္စဥ္မွာလက္မ-ခ်ိဳလိမ္စုပ္တာဟာ ကေလးသြားေတြအေပၚအက်ဳိးသက္ေရာက္မွဳမရွိေပမယ့္၊ ၾကီးသြားေတြစထြက္တဲ့အရြယ္ထိ ဒီအက်င့္ကမေပ်ာက္ေသးရင္၊ ၾကီးသြားေတြနဲ႔ သြားဖုံးရုိး၊ အာေခါင္မုိးၾကီးထြားမွဳမွာ ဆုိးက်ိဳးျဖစ္ႏုိင္ပါတယ္။![]()
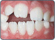
ပုံမွာေတြ႔ရတဲ့အတုိင္း ကေလးရဲ႕လက္မက အေပၚေရွ႕သြားေတြကုိဆြဲလွန္သလုိျဖစ္ေစတဲ့အတြက္ ေရွ႕သြားေတြနဲ႔သြားဖုံးရုိးကုိေခါေစပါတယ္။
လက္မက အေပၚနဲ႔ေအာက္သြားေတြၾကားမွာခံထားတဲ့အတြက္၊ အေပၚေရွ႕သြားေတြနဲ႔ေအာက္ေရွ႕သြားေတြမထိေတာ့ဘဲ ကြက္လပ္ျဖစ္လာေစႏုိင္ပါတယ္။ လွ်ာကလက္မခံေနတဲ့အတြက္ ေနာက္ကုိေရာက္သြားျပီး လွ်ာအေနအထားနဲ႔အထိန္းအသိမ္းမွာထိခုိက္ႏုိင္ပါတယ္။ စုပ္အားေၾကာင့္ ခံတြင္းထဲမွာဖိအားနည္းျပီး၊ ပါးအျပင္ကဖိအားကပုိမ်ားေနတဲ့အတြက္ ေမးရုိး-သြားဖုံးရုိးၾကီးထြားမွဳကုိတားဆီးသလုိျဖစ္ပါတယ္။
![]()
ဒီအက်ိဳးဆက္ေတြက တေန႔မွာဘယ္ေလာက္ၾကာၾကာလက္မစုပ္တယ္၊ ဘယ္အရြယ္ထိလက္မစုပ္တယ္ဆုိတာေပၚမူတည္ျပီး၊ အနည္းအမ်ားကြာျခားႏုိင္ပါတယ္။ လက္ထည့္ရုံထည့္ထားတတ္တဲ့ကေလးနဲ႔ သိသိသာသာလက္ကုိစုပ္တဲ့ကေလးယွဥ္ၾကည့္ရင္ စုပ္တဲ့ကေလးကပုိျပီးဆုိးက်ဳိးခံစားရပါမယ္။ လက္မစုပ္တာနဲ႔ ခ်ိဳလိမ္အၾကာၾကီးစုိ႔တာ ဆုိးက်ဳိးျဖစ္ပုံျခင္းအတူတူျဖစ္ပါတယ္။ ခ်ိဳလိမ္ကုိျဖတ္ရတာလြယ္ေပမယ့္ ကေလးကလက္စုပ္တဲ့အက်င့္ပါသြားရင္ ျဖတ္ဖုိ႔ခက္တတ္ပါတယ္။
ဘယ္အရြယ္မွာလက္မ-ခ်ိဳလိမ္စုပ္တာျပတ္ေနရမလဲ...
ကေလးအမ်ားစုဟာအသက္၂ႏွစ္ကေန၄ႏွစ္အတြင္းဒီအက်င့္ေပ်ာက္သြားပါတယ္။ ပုိေစာတဲ့ကေလးေတြလည္းရွိပါတယ္။ Peer pressure လုိ႔ေခၚတဲ့ အရြယ္တူအုပ္စုေတြနဲ႔ထိေတြ႕မွဳေစာေစာရတဲ့ကေလးေတြမွာလည္း၊ ဒီအက်င့္ေစေစာေပ်ာက္တတ္ပါတယ္။ ကေလးငယ္ရဲ႕ေရွ႕သြားေတြက အသက္၆ႏွစ္မွာ ၾကီးသြားစေပါက္တာမုိ႔ ဒီအသက္မတုိင္မီမွာ အက်င့္လုံး၀ေပ်ာက္ေနဖုိ႔အေရးၾကီးပါတယ္။
အသက္ငယ္တုန္းမွာလည္းဒီခ်ိဳလိမ္အက်င့္ေၾကာင့္သြားဖုံးရုိးနဲ႔သြားအေနအထားေတြထိခုိက္ေစတာ ေအာက္မွာျပထားတဲ့သုေတသနေတြ႕ရွိခ်က္အရေတြ႕ႏုိင္ပါတယ္။
ဘယ္လုိကုသမလဲ...
လက္မစုပ္တဲ့အက်င့္စဲြသြားလုိ႔ျဖစ္ရတဲ့ခံတြင္းေမးရုိးနဲ႔သြားအေနအထားေျပာင္းလဲမွဳေတြကုိ သြားညွိကုအထူးကုဆရာ၀န္နဲ႔တုိင္ပင္ျပသျပီး သြားညွိကိရိယာ (orthodontic appliance)၊ ေမးရုိးၾကီးထြားမွဳထိန္းေက်ာင္းကိရိယာ (functional appliance)ေတြတပ္ဆင္ကုသေစရပါတယ္။
လက္မစုပ္တဲ့အက်င့္ေပ်ာက္ေစဖုိ႔...
- ကေလးကနားလည္တတ္တဲ့အရြယ္ဆုိရင္ လက္မစုပ္လုိ႔ျဖစ္ႏုိင္တဲ့အက်ိဳးဆက္ေတြကုိစိတ္ရွည္လက္ရွည္ရွင္းျပေပးပါ။ကေလးကုိမဆူရပါဘူး၊ လက္မစုပ္တဲ့အၾကိမ္နည္းသြားေအာင္ အားေပးတာကေနစရပါမယ္။ လက္မမစုပ္ဘဲၾကာၾကာေနႏုိင္တဲ့အခါခ်ီးက်ဴးေပးပါ။ ဆုခ်ေပးပါ။ ဒါဟာကေလးကအမူအက်င့္ေျပာင္းလာေအာင္တြန္းအားျဖစ္ေစပါတယ္။ ဆူပူလုိက္ရင္ကေလးရဲ႕စိတ္မလုံျခဳံမွဳပုိဆုိးသြားျပီး၊ အက်င့္ေပ်ာက္ဖုိ႔ခဲယဥ္းေစပါတယ္။
- စိတ္ပုိင္းဆုိင္ရာကၾကည့္ရင္၊ ကေလးမွာ စိတ္မလုံျခဳံမွဳတခုခုခံစားရေနတာ၊ ေႏြးေထြးေခ်ာ့ျမဴမွဳလုိအပ္ေနတာ၊ ပ်င္းေနတာ၊ စိတ္ပူေနတာ၊ စိတ္ဖိစီးမွဳတခုခုရွိေနတာမ်ိဳးရွိေနတဲ့အခါ ဒီလုိျဖစ္တတ္တာမုိ႔ မိဘက အေၾကာင္းရင္းကုိရွာေဖြေဖာ္ထုတ္ေပးရပါတယ္။ ကုိယ့္ရဲ႕ဂရုစုိက္မွဳနည္းတာလား၊ ေက်ာင္းပတ္၀န္းက်င္မွာအေဖာ္မဲ့တာလား၊ အႏုိင္က်င့္ခံရတာလားစသည္ျဖင့္ ျဖစ္ႏုိင္တဲ့အေၾကာင္းရင္းေတြေလ့လာေပးပါ။
- ကေလးဟာ၊ သိစိတ္ကအက်င့္ကုိေဖ်ာက္ခ်င္ေနေပမယ့္၊ မသိစိတ္ကစဲြေနလုိ႔ေဖ်ာက္မရဘဲ အလုိလုိလက္ကပါးစပ္ထဲေရာက္သြားတာမ်ဳိးျဖစ္တတ္ပါတယ္။ ဒီအခါမ်ိဳးမွာေတာ့ လက္မမွာ၊ တခုခုစြပ္ထားေပးတာ၊ ပတ္ထားေပးတာမ်ိဳး၊ ခါးတဲ့အရသာတမ်ိဳးမ်ိဳးသုတ္လိမ္းထားမ်ိဳးနဲ႔ ကေလးသူ႕ဘာသာသတိထားမိေအာင္လုပ္ေပးရပါတယ္။
ကေလးမ်ားအေလးထားေပးၾကပါ။
Thursday, January 14, 2010
ကေလးသြားက်န္းမာေရးအပုိင္း (၃)
Labels:
က်န္းမာေရး
Subscribe to:
Post Comments (Atom)

0 comments:
Post a Comment